Myokardbiopsie

Prinzip

Bei einer Herzmuskel- oder Myokardbiopsie (Myokard = Herzmuskel) wird mit Hilfe einer kleinen Zange Herzmuskelgewebe aus dem Herzen entnommen und nachfolgend chemisch und mikroskopisch untersucht. Die Untersuchung dient zur Diagnose einer

Herzmuskelentzündungen sind oft schwer festzustellen, weil sie sich sehr uncharakteristisch äußern. Dem betroffenen Menschen geht es schlecht, er hat Luftnot und vielleicht Herzschmerzen, das EKG ist meistens untypisch verändert, im Ultraschallbild erkennt man vergrößerte und müde arbeitende Herzkammern (ebenso wie bei einer Kardiomyopathie), Laboruntersuchungen zeigen Veränderungen wie bei jeder anderen Entzündung im Körper auch und dazu noch oft die Zeichen einer Herzmuskelschädigung und sogar bei einer Herzkatheteruntersuchung kann man keine Befunde erheben, die für eine Herzmuskelentzündung sprechen würden. Mit Hilfe der Biopsie kann nun zum einen geklärt werden, ob der Herzmuskel tatsächlich entzündet ist, womit nachgewiesen ist, daß eine Myokarditis, d.i. eine Herzmuskelentzündung vorliegt, ob es sich um eine akute oder eine chronische Entzündung handelt, um welche Art der Entzündung es sich handelt (z.B. durch bestimmte Viren oder durch Immunerkrankungen) und es kann in vielen Fällen sogar festgestellt werden, welches Virus den Herzmuskel angegriffen hat.

Bei Speicherkrankheiten kommt es zur Ablagerung bestimmter chemischer Substanzen in den Herzmuskel. Dies können Eiweißstoffe (z.B. Amyloidose) sein, bestimmte Zucker (Glykogenose im Rahmen angeborener Stoffwechselstörungen), Eisen, das bei angeborenen Stoffwechseldefekten vermehrt aus dem Darm aufgenommen wird, das sich dann in vielen Organen ablagert und diese schädigt oder Fette sein, die sich aufgrund von angeborenen Enzymdefekten vermehrt bilden, die sich dann ebenfalls in zahlreichen Organen (u.a. dem Herzen) ablagern und diese Organe dann schädigen (z.B. die Fabry-Krankheit).

Und schließlich kann man Herzmuskelbiopsien dazu benutzen, um bei herztransplantierten Menschen festzustellen, ob das neue Herz abgestoßen wird. Viele Krankheiten, die man mit Hilfe einer Herzmuskelbiopsie feststellen kann sind nicht heilbar, bei anderen Krankheiten hingegen kann die Biopsie entscheidende Informationen liefern, um eine gezielte Behandlung durchzuführen. Dies betrifft vor allem die Abstoßungsreaktionen bei Menschen mit transplantierten Herzen, bei denen man diese Abstoßung mit speziellen Medikamenten und Cortison schnell, effektiv und sicher bekämpfen kann.

Aber auch bei Eisen-, Eiweiß- oder Fettspeicherkrankheiten (Hämochromatose, Amyloidose bzw. M. Fabry) hilft die definitive Feststellung dieser Krankheiten bei der weiteren Therapie. In vielen Fällen würde eine Biopsie aber Krankheiten zu Tage fördern, die nicht zu behandeln sind.

Bis auf die Suche nach Abstoßungsreaktionen nach Herztransplantationen ist die Herzmuskelbiopsie eine etwas umstrittene Untersuchungsmethode. Dies liegt daran, daß die Untersuchungsergebnisse in vielen Fällen keine konkreten therapeutischen Konsequenzen haben. Daher ist es immer erforderlich, vor der Untersuchung mit dem Arzt zu besprechen, ob die Untersuchung unbedingt erforderlich ist, was die Konsequenzen sein können und ob die in Verdacht stehende Krankheit nachfolgend überhaupt gezielt behandelt werden könnte.

Wichtig ist an dieser Stelle der Hinweis darauf, daß einige der sich evtl. anschließende Behandlungen experimentell sind oder im Rahmen wissenschaftlicher Untersuchungen stattfinden.

Durchführung

Eine Herzmuskelbiopsie wird im Rahmen einer Herzkatheteruntersuchung durchgeführt.

Biopsie Zugang Dabei wird in den meisten Fällen keine Schlagader, sondern eine Vene als Zugangsgefäß benutzt. Durch die Vene gelangt man nämlich in den rechten Teil des Herzens (rechte Vor- und Hauptkammer), wo ein wesentlich geringerer Blutdruck herrscht als im linken Teil des Herzens. Wegen des niedrigeren Drucks ist die Biopsie aus der rechten Hauptkammer wesentlich komplikationsärmer als eine Gewebeentnahme aus der linken Herzkammer.

Am besten geeignet für die Biopsie ist die Halsvene als Zugangsarterie. Denn diese Vene führt ohne größere und störende Gefäßwindungen direkt senkrecht in die rechte Vor- und Hauptkammer.

Wenn die Haut über der Vene betäubt worden ist punktiert der Arzt das Gefäß mit einer dünnen Nadel. Ähnlich wie bei einer Linksherzkatheteruntersuchung wird dann eine sogenannte Schleuse in das Gefäß eingeführt. Durch diese Schleuse wird dann ein feiner Katheter in die Vene eingeführt und unter der Sicht eines Röntgengerätes bis in die rechte Vorkammer vorgeführt.

Biopsie Zange

An der Spitze des Biopsiekatheters befindet sich eine kleine Zange, mit der man aus verschiedenen Stellen der Kammerwand kleine Gewebeproben entnehmen kann. die einzelnen Gewebeproben haben etwa die Größe eines Stecknadelkopfes.

Die auf diese Weise gewonnen Gewebeproben werden sofort nach ihrer Entnahme in kleinen Kunststoff- oder Glasröhren, in denen sich Formalin befindet „fixiert“ und in ein spezialisiertes Labor geschickt.

Hier werden die Proben dann in feinste Scheiben geschnitten und mikroskopisch, immunologisch und chemisch untersucht. Nach der Herzmuskelbiopsie, die etwa 30-60 min lang dauert werden Zange und Schleuse wieder aus dem Körper des Patienten entfernt, das punktierte Blutgefäß mit sanftem Druck verschlossen und mit einem leichten Klebeverband versorgt.

Was merkt man?

Das Unangenehmste bei einer Herzmuskelentnahme sind die Betäubung der Haut über der Vene am Hals, weil dies ein sehr empfindliches Hautgebiet ist, der leichte Druck, mit dem der Arzt die Schleuse in die Vene einführt und die Dunkelheit während des Eingriffs, weil Hals und Kopf mit sterilen Tüchern abgedeckt werden müssen.

Die Entnahme des Gewebes aus dem Herzmuskel selber verursacht keine Schmerzen, sondern manchmal nur eine Unregelmäßigkeit im Herzschlag (Herzstolperschlag). Insgesamt ist die Untersuchung nicht schlimm oder schmerzhaft.

Was kann passieren (Komplikationen)?

Die Untersuchung hat wenige Risiken (ca. 1%). Bei diesen Risiken handelt es sich um:

Ergebnisse

Sehen Sie nachfolgend einige Bilder, auf denen verschiedene Untersuchungsergebnisse gezeigt werden:

Thumbnail Image 1

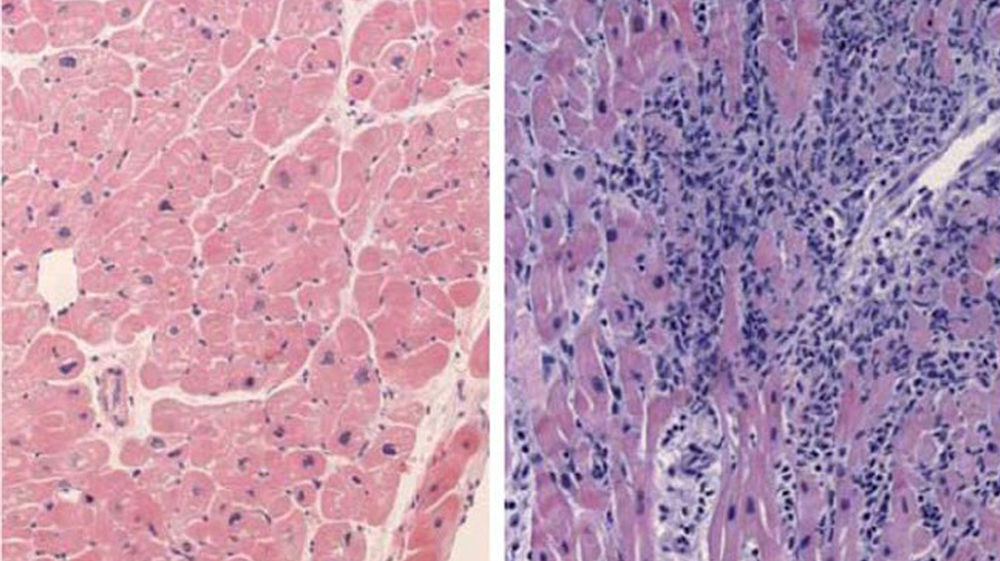
Herzmuskelentzündung. Links normaler, rechts entzündeter Herzmuskel. Beachten Sie rechts die zahlreichen dunklen Punkte. Es handelt sich um die Kerne von Entzündungszellen, die sich bei der Myokarditis in großer Zahl im Herzmuskel ansammeln.

Thumbnail Image 1

Stark vermehrte Ansammlung von Eiweiß zwischen den Herzmuskelzellen (Amyloidose). Die Herzmuskelzellen sind stark rot gefärbt, das Eiweiß der Amyloidose rosa.

Thumbnail Image 1

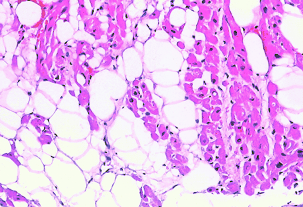
Fettige Degeneration der Herzmuskels. Das Fett erkennt man an den großen weißen Blasen zwischen den rot gefärbten Herzmuskelzellen. In diesem Fall ist sie Folge einer angeborenen Herzerkrankung (rechtsventrikuläre Dysplasie), die zu schweren Herzrhythmusstörungen führen kann.

Thumbnail Image 1

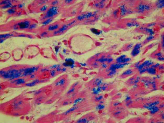
Eisenspeicherkrankheit (Hämochromatose des Herzens). In dieser Spezialfärbung sehen Sie das Eisen blau gefärbt. In normalem Herzmuskel gibt es nur sehr feine Eisensprenkel, in diesem Fall ist die Eisenmenge stark vermehrt..

Thumbnail Image 1

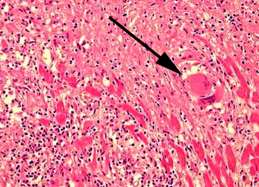
Besondere Entzündungsform des Herzmuskels (Sarkoidose). Die Entzündung erkennt man am Auftreten kugeliger Gebilde (Pfeil) im Herzmuskel..