Myokard­szintigraphie

Die Informationen auf dieser Seite sind auch in einem eBook der Patienten-Akademie enthalten.

Sie bekommen die Version dieses eBooks (Band 9 der eBook-Reihe) in verschiedenen Formaten:


Vorbemerkungen

In diesem eBook wird es sehr physikalisch, denn eine Myokardszintigraphie ist letztlich praktisch angewandte Physik. Lassen Sie sich nicht entmutigen. Ich habe versucht, es allgemein verständlich zu erklären. Wenn das geklappt hat freue ich mich sehr, wenn es nicht geklappt hat: Schicken Sie mir eine Beschwerde-eMail.

Grundlagen

Es handelt sich um eine Untersuchung, mit der die Durchblutung des Herzmuskels und das Ausmaß von Narben nach Herzinfarkten untersucht werden kann. Anders als bei der Echokardiographie oder den Röntgenuntersuchungen des Herzens geht es hier aber nicht um die Darstellung der Anatomie und des Aussehens des Herzens, sondern bei der Myokardszintigraphie geht es um die Funktion der Herzmuskelzellen. Dazu benutzt man 2 Dinge:

  1. Einen Tracer und
  2. eine Kamera.

Tracer

In der Nuklearmedizin bezeichnet man das als Tracer, was bei Röntgenuntersuchungen das Kontrastmittel ist.

Tracer bestehen aus 2 Bestandteilen:

  1. Einer „spezifischen Substanz“ und
  2. Radioaktivität.

Spezifische Substanz

Es handelt sich bei diesen Substanzen nicht um ein Kontrastmittel, wie Sie es aus Röntgenuntersuchungen und Darstellung von Gefäßen kennen. Solche Kontrastmittel sollen Röntgenstrahlen abschwächen und damit die mit Kontrastmittel gefüllten Strukturen sichtbar machen.

Bei den spezifischen Substanzen, wie man sie überall in der Nuklearmedizin benutzt handelt es sich hingegen um Substanzen, die sich in bestimmte Stoffwechselvorgänge des Körpers einschleusen und an diesem Stoffwechsel teilnehmen oder die sich in bestimmten Geweben anreichern.

Sichtbar sind diese Substanzen aber selber mit Kameras nicht.

Je nachdem, was man untersuchen möchte, benutzt man verschiedene chemische Substanzen, von denen man aus Erfahrung weiß, daß sie an bestimmten Stoffwechselvorgängen teilnehmen oder sich in bestimmten Geweben anreichern. So benutzt man z.B. sog. Diphosphonate zur Untersuchung der Knochen, weil man weiß, daß sie sich in Knochen anreichern oder man benutzt Substanzen, die chemisch dem Jod ähneln, um die Schilddrüse zu untersuchen.

Andere Substanzen tragen Namen wie PSMA, DOTATOC oder FDG und sie dienen stets einem ganz bestimmten Untersuchungszweck.

Für die Szintigraphie des Herzens benutzt man in der Regel eine Substanz mit Namen Sestamibi (6-methoxyisobutylisonitrit).

Es handelt sich um eine Substanz, die sich in Zellen mit einer großen Zahl an Mitochondrien ansammelt. Dies sind solche Zellen, die einen intensiven Energiestoffwechsel haben und zu denen auch die Herzmuskelzellen gehören.

Das Sestamibi wird mit dem Blut zu den Herzmuskelzellen transportiert, wobei die Menge der antransportierten Substanz von der Intensität der Blutversorgung abhängig sind. Danach sammelt es sich in den Mitochondrien der Herzmuskelzellen an. Man schlägt damit 2 Fliegen mit 1 Klappe:

  1. Aus der Menge des antransportierten Sestamibi kann man auch die Intensität der Durchblutung schließen. Ist eine Herzkranzarterie verengt fließt weniger Blut durch dieses Gefäß und folglich kommt weniger Sestamibi am Herzmuskel an.
  2. Mitochondrien gibt es nur in lebendigen, nicht aber in abgestorbenen Zellen.

Kann man also eine Ansammlung von Sestamibi im Herzmuskel vorfinden weiß man, daß dieser Herzmuskel noch lebt und daß er nicht z.B. im Rahmen eines Herzinfarktes abgestorben ist. Beispiele der verschiedenen Sestamibi-Verhaltensformen werde ich Ihnen unter dem Kapitel „Ergebnisse“ auf dieser Seite zeigen.

Nun ist das Sestamibi an sich nicht sichtbar. Um es sichtbar zu machen benötigt man Radioaktivität, die man mit speziellen Kameras nachweisen kann (s.u.).

Dazu koppelt man das „Kontrastmittel“ in einer chemischen Reaktion mit der Radioaktivität. Auf diese Weise erzeugt man sozusagen ein Trojanische Pferd:

Das Sestamibi schleust die angekoppelte Radioaktivität in die lebenden Zellen ein und erst diese Radioaktivität mach das Sestamibi sichtbar.

Sie haben jetzt von dem Kontrastmittel gehört und müssen nun etwas über die Radioaktivität lernen.

Radioaktivität

Unter Radioaktivität versteht man die Eigenschaft bestimmter Atome, durch den Zerfall der Atomkerne Energie abzugeben.

Nicht jedes Atom kann unter Abgabe energiereicher radioaktiver Strahlung zerfallen. Dies ist nur solchen Atomen vorbehalten, die entweder von Natur aus oder durch künstliche Einwirkung des Menschen instabil sind.

Der Zerfall solcher instabiler Atomkerns kann auf 3 Arten erfolgen:

alpha-Strahlung
Abb. 1
  • Alpha-Zerfall: Hierbei zerfällt der Atomkern, indem er Helium-Teilchen aussendet (Abb. 1), die den Atomkern mit Lichtgeschwindigkeit verlassen. Der zurück gebliebene Atomkern wird dadurch um einige Protonen „erleichtert“ und weil die einzelnen Elemente (siehe „Periodisches System der Elemente“) durch die Anzahl ihrer Protonen definiert sind entsteht aus dem Mutteratom durch die Aussendung der alpha-Teilchen ein neues Element. So entsteht beispielsweise aus Uran, das alpha-mäßig zerfällt das Tochterelement Radium. Die beim Alpha-Zerfall ausgesandten Helium-Teilchen sind relativ schwer, daher spricht man hier von einer Teilchenstrahlung. Sie haben nur eine sehr geringe Reichweite und können schon durch ein stärkeres Blatt Papier oder wenige Zentimeter Luft abgefangen werden.
  • beta-Strahlung
    Abb. 2
  • Beta-Zerfall: Hier gibt der instabile Atomkern ein beta-Teilchen ab. Es gibt 2 Arten des beta-Zerfalls, je nachdem, ob sich ein Neutron in ein Proton (+) und ein negativ geladenes Teilchen oder ob sich ein Proton in ein Neutron und ein positiv geladenes Teilchen (Positron) umwandelt (Abb. 2). Sie werden über die eine Form des beta-Zerfalls im Abschnitt über die Positronen-Emissions-Tomographie (PET) noch etwas Genaueres lesen. Auch die beta-Strahlen haben keine sehr große Reichweite und Eindringtiefe in den Körper, sie können beispielsweise durch eine 1 cm dicke Plexiglasscheibe sicher abgefangen werden. Sie sind aber relativ energiereich und können bei den lebenden Zellen, auf die sie treffen, schwere Schäden verursachen.
  • gamma-Strahlung
    Abb. 3
  • Gamma-Zerfall: Beim gamma-Zerfall gibt das Atom weder ein Proton noch ein Neutron ab, sondern es sendet elektromagnetische Strahlung (= gamma-Strahlung) aus (Abb. 3).
  • gamma-Strahlung tritt meistens dann auf, wenn das Atom zuvor alpha- oder beta-mäßig zerfallen ist und in einem „angeregten“ Zustand verbleibt. Die „überschüssige“ Energie des verbliebenen Tochteratoms wird dann in Form der gamma-Strahlung abgegeben.

    gamma-Strahlung hat den größten Durchdringungsgrad für den tierischen und somit menschlichen Körper, d.h. sie kann sehr tief in den Körper eindringen. Dabei entfaltet sie ihre schädigende Wirkung über die Möglichkeit, chemische Bindungen aufzubrechen.

    Gefährlich ist dies, weil die Erbsubstanz (DNS) eine Kette verschiedener Moleküle ist, die chemisch miteinander verbunden sind. Wenn eine solche DNS-Kette unterbrochen wird resultieren daraus Probleme mit der Bildung von Eiweißkörpern, die die Zelle und der Körper dringend benötigen und es kommt zu Erbschäden.

    Alle 3 oben beschriebenen Zerfallsarten eines Atoms liefern also Strahlung. Diese Strahlung nennt man „radioaktive Strahlung“. Je nachdem, in welcher Art das Atom zerfällt spricht man dann von alpha-, beta- oder gamma-radioaktiven Substanzen. Genutzt werden für die Medizin nur gamma-strahlende Substanzen.

    Es ist kein Zufall, welches instabile Atom nach einer der oben beschriebenen 3 Möglichkeiten zerfällt, sondern dies ist eine naturwissenschaftliche Gesetzmäßigkeit. Uran zerfällt beispielsweise immer alpha-mäßig und bestimmte Jodatome immer beta-mäßig. Andere Atome, z.B. ein bestimmtes Kobaltatom zerfällt zunächst beta-mäßig in angeregtes Nickel und dieses wiederum unter Abgabe seiner überschüssigen Energie durch gamma-Strahlung in den Grundzustand des Nickels.

    In der „normalen“ Myokardszintigraphie benutzt man als gamma-Strahlen das Technetium-99m. Ein anderer Stoff mit Namen Thallium 201 wird heute kaum noch verwendet, weil er gegenüber dem Technetium mit einer größeren Strahlenbelastung des untersuchten Patienten verbunden ist, über andere spezielle Tracer werde ich im Kapitel über die Positronen-Emmissions-Tomographie (PET) berichten.

    Herstellung

    Technetium-99m ist keine Substanzen, die in der Natur vorkommen, es muß daher künstlich hergestellt werden. Technetium-99m gewinnt man aus einem „Generator“.

    Nuklidgenerator
    Abb. 4

    Dabei handelt es sich um einen „Behälter“, in dem radioaktives Molybdän (Mb-99) an einem stabförmigen Träger (Aluminiumsäule) gebunden wird. Hier an der Wand der Aluminiumsäule zerfällt das Molybdän natürlicherweise in Technetium-99m. Durchspült man die Säule mit einer Salzlösung dann bleibt das Molybdän an der Wand kleben und das lösliche Technetium wird ausgewaschen (Abb. 4).

    Diesen Vorgang nennt man das „Melken des Generators“.

    Molybdän hat eine Halbwertszeit von 66 Stunden, d.h. es verliert innerhalb von 66 Stunden die Hälfte seiner Aktivität, beim Technetium sind es nur 6 Stunden. Daher muß alle paar Tage ein frischer Generator aus dem Atomkraftwerk, wo er hergestellt wird, an das Krankenhaus oder die Arztpraxis ausgeliefert werden, sodaß die Verbraucher das jeweils benötigte Technetium vor jeder Untersuchung frisch ausspülen können. Auf Vorrat halten (wie bei Röntgen-Kontrastmittel) kann man die radioaktiven Tracer nicht, weil sich die radioaktiven Substanzen alle mit der Zeit abschwächen (Halbwertszeit).

    Verbindung von spezifischer Substanz und Radioaktivität

    Die spezifische Substanz (Sestamibi) wird bei bestimmten Firmen eingekauft, die Radioaktivität (Technetium) wird mit Hilfe des Generator selber hergestellt.

    Es ist daher erforderlich, beide Substanzen miteinander zu verbinden.

    Diese Verbindung erfolgt durch Kochen, indem in das Sestamibi-Fläschen die aus dem Generator gemolkene Radioaktivität zugegeben wird und diese Mischung für 10 - 15 Minuten in einem Behälter mit kochendem Wasser erhitzt wird. Nach dem Abkühlen ist die Lösung einsatzbereit.

    Kamera

    Um den Tracer, der sich im Herzmuskel angesammelt hat abzubilden benötigt man eine spezielle Kamera. Weil diese Kamera die gamma-Strahlen des Technetiums erkennen und abbilden kann, nennt man sie gamma-Kamera.

    Sie funktioniert nach dem folgenden Prinzip:

    gamma-Kamera / SPECT
    gamma-Kamera
    Abb. 5

    Die wichtigsten Bestandteile einer solchen Kamera sind ein Kristall, die Photomultiplier und ein Kollimator, die wie in Abb. 5 angeordnet sind.

    Der große Kristall besteht aus Natriumjodid. Dieses Material hat die Eigenschaft, immer dort, wo radioaktive Strahlung auftrifft einen Lichtblitz zu bilden.

    Hinter dem Kristall befinden sich eine große Zahl von sog. Photomultiplier, die über die gesamte Rückfläche des Kristalls verteilt sind (Abb. 6).

    Photomultiplier
    Abb. 6

    Photomultiplier sind kleine elektronische Röhren, in denen die schwachen Lichtblitze des Kamerakristalls in einen elektrischer Impuls umgewandelt werden.

    Wenn in einem Kristall an einer bestimmten Stelle der Lichtblitz entsteht, dann sendet nur derjenige Multiplier einen elektrischen Impuls, unter dem der Blitz gerade aufgetreten ist. Die Multiplier rechts, links, davor und dahinter geben keine oder nur sehr viel schwächere Impulse.

    Die elektrischen Impulse sämtlicher Photomultiplier werden einem Computer zugeleitet, der auf diese Weise ein Bild herstellen kann.

    Kollimator
    Abb. 7

    Diese Bilder sind zunächst sehr unscharf, weil die Strahlung durch das Gewebe in der Umgebung der Strahlenquelle (d.i. das Herz) gestreut werden (Abb. 7). Um diese Streustrahlung zu vermindern und n.M. sogar zu beseitigen benutzt man einen sog. Kollimator.

    Er ist vor dem Kristall angebracht (siehe Abb. 5) und soll dafür sorgen, daß nur solche radioaktive Strahlung zum Kristall gelangt, die absolut senkrecht auf die Kamera auftrifft.

    Abb. 8
    Oben sehen Sie, wie die Strahlen willkürlich auf den Kristall aufprallen und hier einen Grauschleier verursachen (linker Teil der Abbildung).
    Durch den Kollimator (unterer Teil des Bildes) werden alle schräg auftreffenden Strahlen weggefiltert und es kommen nur die gerade aus der Richtung des strahlenden Objektes auftreffenden Strahlen abgebildet.

    Vereinfacht gesagt ist ein Kollimator eine Metallplatte mit vielen absolut senkrechten Bohrungen. Diese Bohrlöcher arbeiten wie ein Tunnel und können nur von solchen Strahlen passiert werden, die absolut parallel zur Tunnelröhre laufen; schräg laufende Strahlen prallen an den Wänden ab und „verdämmern“ dabei (Abb. 8).

    In den Anfängen der Szintigraphie wurden die aus dem Körper eintreffenden radioaktiven Impulse lediglich von 1 Kamera, die sich genau über dem Patienten aufgenommen. Diese Art der Bildgebung nannte man „planare“ Szintigraphie („Planar“, weil sie das 3-dimensionalen Gebilde eines Körpers nur in 1 Ebene und 2 Dimensionen darstellt).

    Zwischenzeitlich hat man diese Technik verlassen und verbessert, indem man sog. SPECT-Aufnahmen durchführt.

    SPECT ist die Abkürzung für single photon emission computed tomography und sie arbeitet nach folgendem Prinzip:

    Die Kamera steht nicht starr über der Vorderseite des Brustkorbs, sondern sie dreht sich um den Körper herum und nimmt auf diese Weise Aufnahmen des Herzens aus verschiedenen Blickwinkeln (= Projektionen) auf (Film 1).

    Film 1

    Auf diese Weise entsteht eine Vielzahl von verschiedenen Bildern, die die radioaktive Darstellung des Herzens in verschiedenen Streifen und aus verschiedenen Darstellungswinkeln abbilden.

    Sinogramm
    Abb. 9

    Der Computer sortiert nun diese Bilder, indem er die Bilder aus den verschiedenen Blickwinkeln zu einem Bildersatz zusammenfaßt. Die Zusammenfassung solcher Bilder aus einer Drehung der Kamera um den Körper nennt man „Sinogramm“ (Abb. 9).

    Ein solches Sinogramm enthält nicht nur die Bildinformation des Herzens, sondern auch noch zahlreiche Störfaktoren durch Hintergrundstrahlung oder Strahlung durch Gewebe, die das Herz überlagern. Daher werden die Sinogramme in einem nächsten Arbeitsschritt vom Computer aufgearbeitet, wozu man verschiedene mathematische Verfahren einsetzt.

    Aus den so gewonnenen verarbeiteten Sinogrammen setzt der Computer die Bilder des Herzens wieder zusammen. Er bildet dabei das Herz nicht als gesamtes Organ ab, sondern stellt es in Schnitten), d.h. in Scheiben oder Ebenen dar (Abb. 10).

    Abb. 10
    Dieses Bild verdanken wir Patrick Lynch, einem genialen Medizin-Illustrator. Er hat es für jedermann nutzbar ins Internet gestellt
    Abb. 11

    In Abb. 10 ist nur 1 Ebene eingezeichnet, aber in Wahrheit sind es 3 (Abb. 11).

    In diesen 3 Ebenen stellt der Computer die aufgefangene radioaktive Strahlung farbig abgestuft dar, indem er Orte mit starker Strahlung in einer intensiveren Farbe abbildet als Orte mit schwacher Strahlung (Abb. 12).

    Abb. 12

    Dieses Verfahren der bildlichen Darstellung des Herzens nennt man „single photonen emissions tomography (SPECT).

    SPECT-Darstellungen des Herzens sind heute die bevorzugte Untersuchungsart einer Szintigraphie des Herzens.

    Abb. 13

    Sie liefert eine Sammlung von Bildern, die die Radioaktivität in zahlreichen Scheiben jeweils 1 Ebene darstellt (Abb. 13).

    SPECT / CT
    Abb. 14

    Wenn Sie sich Abb. 13, die von einem Menschen ohne Durchblutungsstörungen des Herzens stammen, einmal genau ansehen dann werden Sie erkennen, daß in der Hinterwand des Herzens (Pfeile in Abb. 14) weniger Radioaktivität gespeichert ist als in der Vorderwand. Dies kann 2 Ursachen haben:

    1. Es kann sein, daß die Durchblutung dieser Gebiete durch eine Verengung der betreffenden Herzkranzarterie vermindert ist, was bedeutet, daß dieser Mensch krank ist und weiter untersucht und evtl. behandelt werden muß.
    2. Es ist aber auch denkbar, daß „physikalische Ursachen“ vorliegen und der Mensch in Wahrheit kerngesund ist.

    Solche physikalischen Ursachen haben etwas mit der Abschwächung der Radioaktivität zu tun:

    Jede Strahlung, ob es nun Röntgen- oder radioaktive gamma-Strahlung ist, wird von dem Gewebe, das sie durchdringt, abgeschwächt. Diese Abschwächung ist um so stärker, desto mehr Gewebe durchstrahlt wird und desto länger die Strecke zwischen der Strahlenquelle und der gamma-Kamera ist. Aus diesem Grund ist es notwendig, daß man sich z.B. als Mitarbeiter einer Szintigraphie-Abteilung immer so weit wie möglich von einer Strahlenquelle entfernen sollte, um die Strahlenbelastung so gering wie möglich zu halten.

    Die Hinterwand des Herzens ist weiter von der gamma-Kamera entfernt als die Vorderwand. Daher ist die Strahlungsaktivität, die aus der Hinterwand stammt aus physikalischen Gründen geringer als diejenige, die aus der Vorderwand des Herzens stammt. Dies ist der Grund dafür, weshalb Szintigraphien oft fälschlich krankhafte Aktivitätsverminderungen in der Hinterwand zeigen und das Vorliegen einer Durchblutungsstörung der Hinterwand vortäuschen. Besonders ausgeprägt ist dieser Effekt bei übergewichtigen Menschen, denn bei ihnen ist der Abstand von der Strahlenquelle (= Herz) durch das viele Fett noch zusätzlich vergrößert.

    Um diesen physikalischen Effekt zu minimieren oder sogar vollständig zu vermeiden benutzt man ein Verfahren mit dem Namen „Schwächungskorrektur“.

    Abb. 15 Abb. 16

    Für die Schwächungskorrektur benutzt man Röntgenstrahlung eines CT-Gerätes. gamma-Kamera und CT befinden sich dabei in einem Gerät (Abb. 15).

    Mit dem CT nimmt man zunächst das Herz mit einer nur geringen Röntgenleistung („low-dose-CT“) auf (Abb. 16).

    Im nächsten Schritt bestimmt man für jeden Bildpunkt in allen Schnitten und in allen Ebenen, wie stark die Röntgenstrahlung an diesem Bildpunkt geschwächt wird („A“ in Abb. 16).

    Abb. 17
    Der Pfeil zeigt auf einen bestimmten Bildpunkt (z.B. „A“ in Abb. 16)

    Diesen Röntgen-„Dichte-Wert“ überträgt der Computer auf alle entsprechenden Bildpunkte der einzelnen Schnitte in allen Ebenen. Die im Szintigramm an der identische Stelle gemessene Radioaktivitäts-Intensität wird nun mit dem Röntgen-Dichte-Wert korrigiert.

    Auf diese Weise wird die physikalisch bedingt Radioaktivitätsschwächung korrigiert (Abb. 17).

    Z.B. wird über Punkt A in der Hinterwand eine niedrigere Röntgendichte gemessen als an einem dazu passenden Punkt in der Vorderwand und diese Differenz hat den Wert 2 (dies ist nur ein willkürlichen Zahlenwert für dieses Beispiel). In den Szintigraphiebildern addiert man zu dem tatsächlich gemessenen Wert für Punkt A die Zahl 2. Auf diese Weise korrigiert man Radioaktivitäts-Intensität für Punkt A in der Hinterwand und gleich ihn der Intensität in der Vorderwand an. (Entschuldigen Sie diese sehr grobe Vereinfachung der Methodik. In Wahrheit erfolgen solche Korrekturen mit Hilfe sehr komplexer mathematischer Berechnungen, zu denen auch bestimmte Filterfunktionen gehören.)

    Abb. 18

    Am Ende dieser Berechnungen steht dann das korrigierte Bild wie in Abb. 18.

    Sie erkennen in dieser Abbildung, daß die ursprüngliche Radioaktivitätsabschwächung in der Hinterwand (1. und 3. Zeile der Bilder, siehe auch Abb. 14) nach der Schwächungskorrektur nicht mehr sichtbar ist.

    Es handelte sich also bei den Originalbildern (siehe Abb. 14) um einen physikalisch verursachten Fehler.

    Die Qualität der Szintigraphiebilder hat durch diese Methode der Schwächungskorrektur, die man aus naheliegenden Gründen SPECT / CT nennt, erheblich zugenommen und viele falsch krankhafte Untersuchungen vermieden.

    Myokardszintigraphien werden zunächst unter Belastung und evtl. nachfolgend auch in körperliche Ruhe angefertigt. Dafür gibt es einen Grund:

    Der Unterschied zwischen den Ruhe- und Belastungsbildern

    Das Herz und ein Automotor haben eines gemeinsam:

    Beide benötigen unter Vollgas erheblich mehr Treibstoff als im Leerlauf. Auf das Herz übertragen bedeutet dies, daß der Herzmuskel unter starker körperlicher Belastung wesentlich mehr Blut zu seiner Energieversorgung benötigt als in körperlicher Ruhe. Dieses Blut erhält der Herzmuskel durch die sogenannten Herzkranzarterien. Wenn diese Herzkranzarterien verengt sind fließt logischerweise weniger Blut hindurch und der Herzmuskel bekommt zu wenig Blut. Man nennt die Krankheit „Koronare Herzkrankheit“.

    Blutfluß und Gefäverengung
    Abb. 19
    Abhängigkeit zwischen dem Ausmaß einer Gefäßverengung und dem Blutfluß durch das Gefäß.
    Obere Kurve: Stark erhöhter Blutfluß unter Belastung
    unter Kurve: Normaler Blutfluß in Ruhe

    Die Beziehung zwischen dem Ausmaß der Verengung und der Verminderung des Blutflusses verläuft nicht linear, sondern derartig, daß erst ab einer Verengung von etwa 75% mit einer Behinderung des Blutflusses zu rechnen ist (Abb. 19).

    Steigert man jedoch die Menge des Blutflusses durch die Arterie dann werden nun schon Verengungen ab einem Ausmaß von etwa 50% zu einer Durchblutungsstörung führen. Wieder vergleichen mit einem Automotor:

    Wenn die Benzinleitung vom Tank zum Motor verengt ist dann wird der Motor in Ruhe ganz normal und gleichmäßig laufen; aber unter Vollgas wird er anfangen zu husten. Einen solchen „Vollgastest“ führt man bei Untersuchungen des Herzens mit Hilfe körperlicher Belastungen durch, indem man die Durchblutung des Herzmuskels unter Belastung und in Ruhe darstellt.

    Wenn man nun während der Belastung auf dem Fahrrad Kontrastmittel einspritzt dann fließt dieses durch die Herzkranzgefäße zum Herzmuskel. In demjenigen Herzmuskel, der von einer verengten Arterie versorgt wird kommt nun weniger Kontrastmittel an, diese Herzwand strahlt weniger Radioaktivität ab und diesen „Radioaktivitätsdefekt“ kann man auf den Bildern der gamma-Kamera sehen.

    Ein solcher Aktivitätsdefekt bedeutet also, daß weniger Kontrastmittel ankommt und daß die Arterie, die diese Wand versorgt verengt oder sogar verschlossen ist; Beispiele werden Sie später sehen.

    Wie Sie etwas weiter oben gelesen haben müßte sich die Durchblutung in körperlicher Ruhe wieder normalisieren. Daher führt man immer dann, wenn sich in der Belastungsaufnahme ein Aktivitätsdefekt gezeigt hat, noch eine Ruhe-Aufnahme mit erneuter Injektion des Tracers durch.

    Technetium verschwindet schnell aus dem Körper und ist nach 3 - 4 Stunden auch im Herzmuskel nicht mehr gut nachweisbar. Man könnte daher theoretisch 3 - 4 Stunden nach der Belastungs- auch die Ruheaufnahmen durchführen. Weil dies aber logistisch oft schwer umzusetzen ist erfolgt die Ruheaufnahme an einem der folgenden Tage. Es wird erneut Kontrastmittel eingespritzt, dieses Mal aber in Ruhebedingungen.

    Abb. 20
    Durchblutungsstörung der Spitze der linken Herzkammer. Oben: Belastungsaufnahme mit Aktivitätsdefekt (Pfeil). Unten: Ruhe-Aufnahme mit erneuter Anfärbung des Aktivitätsdefektes

    Das Kontrastmittel sammelt sich nun idealerweise gleichmäßig im Herzmuskel an und die gamma-Kamera stellt nun eine gleichmäßige Verteilung des radioaktiven Kontrastmittels dar.

    Diese Art der Kontrastmittelverteilung (Abb. 20) (Aktivitätsdefekt in den Belastungs-, normale Aktivitätsverteilung in den Ruhe-Aufnahmen) ist typisch für eine koronare Herzkrankheit mit Durchblutungsstörungen aufgrund bedeutsam verengter Koronararterien, jedoch ohne Narbe im Herzmuskel.

    Wenn eine Narbe des Herzmuskels vorliegt ist die Verteilung des Tracers in den Ruheaufnahmen hingegen anders:

    Die Anreicherung des Kontrastmittels im Herzmuskel funktioniert bei lebendigem Herzmuskel. Bei einem Herzinfarkt kommt es aber zu einem Verschluß einer Herzkranzarterie. Der von diesem Gefäß versorgte Herzmuskel bekommt nun überhaupt kein Blut mehr und stirbt ab. Der abgestorbene Herzmuskel in der betroffenen Gegend des Herzens (Vorder-, Hinter- oder Seitenwand, je nachdem, welche Arterie verschlossen ist) wird in Narbengewebe umgewandelt.

    Narbengewebe ist „totes“ Gewebe, das keine Möglichkeit mehr hat, das Kontrastmittel aufzunehmen. Selbst wenn die Arterie, die in das Herzinfarktgebiet wieder geöffnet wird (z.B. durch eine Ballonerweiterung oder durch bestimmte Medikamente): Der Herzmuskel ist und bleibt abgestorben und damit tot.

    Wenn man nun das radioaktive Kontrastmittel einspritzt dann kann es sich in dem abgestorbenen und vernarbten Herzmuskel nicht mehr ansammeln und man sieht auf den zunächst angefertigten Belastungsbildern den oben schon beschriebenen Aktivitätsdefekt.

    Dieser Defekt selber sieht prinzipiell genauso aus wie der Defekt bei einer Durchblutungsstörung. Beim Vorliegen einer Narbe füllt sich der Aktivitätsdefekt der Belastungsaufnahme jedoch in der Ruheaufnahme nicht wieder auf und bleibt bestehen. Der Grund dafür ist, daß der abgestorbene Herzmuskel kein Kontrastmittel mehr ansammeln kann. Man erkennt Narben des Herzmuskels also daran, da der Aktivitätsdefekt in den Belastungsnahmen ebenso aussieht wie in Ruhe. Ein Beispiel für die szintigraphische Entdeckung einer Herzmuskelnarbe sehen Sie am Ende des Kapitels bei den Beispielen.

    Nachdem Sie nun die physikalischen und technischen Grundlagen einer Szintigraphie kennen können wir nun zur praktischen Teil übergehen.

    Myokard­szintigraphie

    Durchführung

    Die Untersuchung muß nüchtern durchgeführt werden. Diabetiker dürfen ein kleines, leichtes Frühstück zu sich nehmen, sollten dies den Arzt aber unbedingt vorher fragen, weil diese Mahlzeit zu Störungen der Bilder führen kann (s.u.). Auf keinen Fall sollte man am Untersuchungstag koffeinhaltige Getränke (z.B. Kaffee oder Cola) trinken und man sollte auch nicht rauchen, weil dies ebenfalls zu Verfälschungen der Bilder führen kann.

    Wenn man Medikamente einnehmen muß so ist dies am Untersuchungstag möglich, am sollte sie mit einem Schluck Wasser herunterspülen. Ausgenommen hiervon sind allerdings Medikamente, die die Herzfrequenz unter Belastung bremsen (z.B. beta-Blocker), weil hierdurch die Aussagekraft der Untersuchung abnimmt.

    Ebenso wie beim Belastungs-EKG haben die Untersuchungsergebnisse nur dann eine verläßliche Aussagekraft, wenn sie unter dem maximal möglichen Anstieg der Herzfrequenz hergestellt wurden.

    Zunächst muß, ähnlich wie beim Belastungs-EKG, ein Belastungstest durchgeführt werden. Man sitzt auf einem Fahrrad, ist mit EKG-Elektroden und einer Blutdruckmanschette verbunden und muß sich auf dem Fahrrad belasten. Ist Radfahren aus gesundheitlichen oder anderen Gründen nicht möglich wird alternativ eine „pharmakologische Belastung“ mit Hilfe eines Medikamentes durchgeführt, das zu einer starken Erweiterung der Herzkranzarterie führt. Ich berichte später noch etwas hierüber.

    Am Ende der Belastung wird dann durch eine dünne Kanüle, die vor der Untersuchung in eine Armvene eingeführt wurde, das Kontrastmittel eingespritzt. Es verteilt sich im Blutkreislauf und erreicht damit auch das Herz.

    Abb. 21

    Der Untersuchte belastet sich nach der Einspritzung noch kurz weiter und kann dann mit dem Fahrradfahren aufhören.

    Etwa 1 - 2 Stunden nach dieser Einspritzung wird der zu untersuchende Mensch unter der gamma-Kamera und dem CT auf eine Untersuchungsliege gelegt. Dabei wird er zunächst automatisch in die Röhre des CT geschoben und, wenn die CT-Bilder fertig sind, wieder, ebenfalls automatisch, aus der Röhre heraus gefahren und unter der gamma-Kamera plaziert (Abb. 21).

    Kamera und CT wandern jeweils automatisch innerhalb von insgesamt etwa 20 Minuten um den Oberkörper herum und fertigt hierbei verschiedene Bilder des Herzens an.

    In der Zeit zwischen der Einspritzung des Kontrastmittels und der Herstellung der Bilder sollte man fett- und eiweißreiche kleine Mahlzeit (z.B. Milch trinken, Schokolade essen) einnehmen. Hierdurch wird die Gallenblase aktiviert, in der sich eine große Menge des Kontrastmittels befindet, das nicht an den Herzmuskel gebunden wurde. Die Gallenblase scheidet dann das in ihr gelagerte Kontrastmittel in den Darm aus und auf diese Weise entstehen keine großen Kontrastmittel-“Flecken“ unterhalb des Herzens, d.h. die Bilder werden besser.

    In einigen Fällen führt man am darauf folgenden Tag die Ruhe-Untersuchung durch. Diese Untersuchung verläuft ähnlich wie die oben beschriebene Belastungsuntersuchung, jedoch muß man für die Ruheaufnahmen natürlich nicht mehr Fahrrad fahren:

    Man bekommt die Spitze mit dem Technetium, wartet 1 - 2 Stunden ab, während denen man die schon erwähnte fett- und eiweißreiche Mahlzeit zu sich nehmen sollte und legt sich dann für etwa 20 Minuten unter die gamma-Kamera.

    Nach der Anfertigung auch dieser sogenannten Ruheaufnahmen ist die Untersuchung beendet. Bei der nachfolgenden Auswertung der Bilder setzt ein Computer die vielen angefertigten Einzelbilder zu verschiedenen Schnittbildern des Herzens zusammen und stellt die Belastungsaufnahmen neben die Ruheaufnahmen.

    Auf diese Weise werden etwa 30 Bilder hergestellt, in denen man die Durchblutung in den verschiedenen Wandabschnitten des Herzens beobachten kann.

    Die soeben beschriebene Untersuchung nennt man das „Zwei-Tage-Protokoll“, weil man an 2 unterschiedlichen Tagen untersucht wird:

    An Tag 1 mit und an Tag 2 ohne Belastung.

    Oft kann man aber auf die Ruhe-Untersuchung am 2. Tag verzichten, nämlich immer dann, wenn schon die Belastungsuntersuchung einen normalen Befund ergeben hat. In diesen Fällen weiß man schon nach den Ruheaufnahmen, daß die Durchblutung des Herzmuskels nicht gestört ist und in diesen Fällen hat die zusätzliche Ruheuntersuchung keinen weiteren Nutzen. Im Interesse der Strahlenbelastung des zu untersuchenden Menschen kann man daher darauf verzichten.

    Manchmal kann man die Belastungs- und Ruheuntersuchung auch an demselben Tag durchführen („1-Tages-Protokoll“). In diesen Fällen muß man aber für die Ruheaufnahmen besonders viel radioaktives Kontrastmittel einspritzen, weil man die Anfärbung aus der zuvor durchgeführten Belastungsuntersuchung „überdecken“ muß.

    Was merkt man?

    Die Untersuchung ist vollkommen schmerzlos.

    Wenn eine pharmakologische Belastung durchgeführt wird bemerkt man manchmal ein Wärmegefühl im ganzen Körper und vor allem im Gesicht (siehe unter „pharmakologische Belastung“ in einem späteren Abschnitt dieses eBooks).

    Was kann passieren (Komplikationen)?

    Wer sollte untersucht werden?

    Eine Myokardszintigraphie wird immer im Zusammenhang mit einer vermuteten oder tatsächlich vorliegenden Erkrankung der Koronargefäße (= Koronare Herzkrankheit = KHK) durchgeführt. Dabei gibt es 5 Gründe für die Durchführung der Untersuchung:

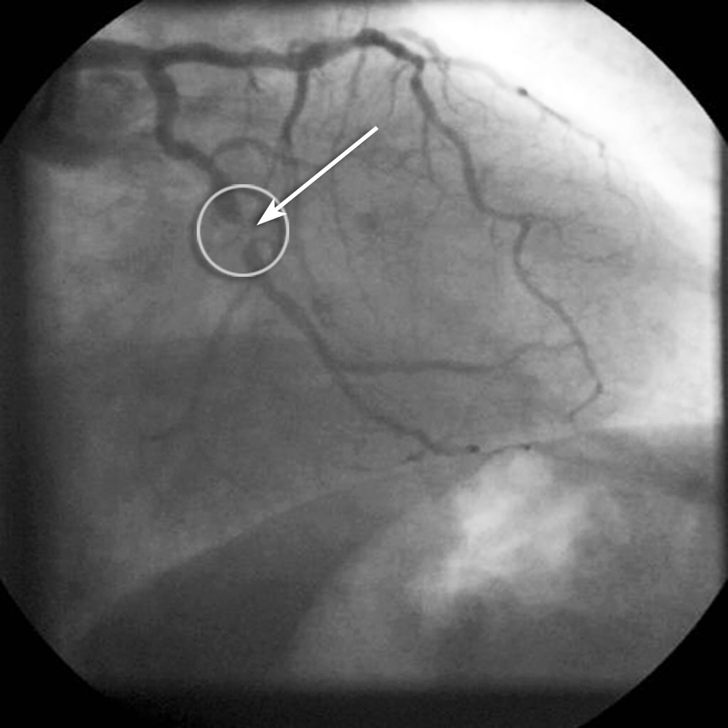
    geringe Einengung hochgradige Einengung
    Abb. 22 Abb. 23
    Herzkatheterdarstellungen von 2 Verengungen:
    Abb. 22: Geringe Einengung
    Abb. 23: Hochgradige Einengung, das Gefäß wirkt nahezu unterbrochen!
     
    1. Eine Myokardszintigraphie wird nach einer Katheteruntersuchung durchgeführt und zwar dann, wenn man das Ausmaß einer Verengung nicht sicher erkennen kann:

      In vielen Fällen wird man bei einer Herzkatheteruntersuchung Einengungen finden, die entweder nur minimal (Abb. 22 links) oder die hochgradig (Abb. 22 rechts) sind.

      In diesen Fällen ist ein Zusammenhang mit den Beschwerden eines Menschen eindeutig: Geringe Verengungen sind für die Beschwerden sicherlich nicht verantwortlich, hochgradige Verengungen sind eindeutig verantwortlich. In einigen Fällen findet man aber Verengungen, die die Kardiologen als „grenzwertig“ einstufen, weil sie weder eindeutig hochgradig noch eindeutig unbedeutsam sind (Abb. 23).

      mittelgradige Einengung
      Abb. 23

      Man kann solche Verengungen nicht auf den Millimeter genau ausmessen und letztendlich entscheidet auch nicht das Aussehen des Gefäßes, sondern seine Fähigkeit, Blut in ausreichender Menge zu transportieren.

      Bei solchen grenzwertigen Verengungen führt man eine Myokardszintigraphie durch, um zu prüfen, ob die Arterienverengung bereits zu einer Durchblutungsstörung führt oder nicht. Diese Frage ist von großer Bedeutung, denn wenn eine Durchblutungsstörung besteht dann kann man überlegen, ob eine weitere Behandlung mittels Ballonerweiterung (PTCA) oder Operation notwendig ist; verursacht die Verengung aber keinerlei Durchblutungsstörung macht die Durchführung einer PTCA oder Bypass-Operation wenig Sinn. Hier dient die Szintigraphie also dazu, die funktionelle Bedeutung der Verengung zu klären und um zu entscheiden, wie die weitere Behandlung aussehen sollte.

    2. Wenn Menschen einen Herzinfarkt erlitten haben dann führt dies zu einem Absterben des Herzmuskels in dem betroffenen Herzwandgebiet.

      Man erkennt solche abgestorbenen Herzmuskelgebiete daran, daß sie sich im Ultraschallbild des Herzens und auch bei der Herzkatheteruntersuchung nicht mehr oder nur noch sehr müde bewegen.

      Wenn der Herzmuskel erst einmal abgestorben ist so ist dieser Vorgang unumkehrbar. In vielen Fällen stirbt aber nicht der gesamte Herzmuskel in dem von einer erkrankten Arterie versorgten Gebiet ab. Vielmehr geht der Herzmuskel oft in eine Art Winterschlaf über. Dabei verfällt der Herzmuskel in eine Art Schockzustand; er vermindert seinen Energiestoffwechsel maximal, sodaß die Herzmuskelzellen auch mit den minimalsten Blutmengen, die sie noch bekommen überleben können. Die Herzmuskelzellen überleben den Gefäßverschluß durch diesen Trick zwar, aber pumpen und sich bewegen können sie nicht mehr.

      Im Ultraschall oder bei der Herzkatheteruntersuchungen wirken diese Herzmuskelzellen wie abgestorben, aber in Wahrheit leben sie noch.

      Man weiß, daß in einem vollkommen bewegungslos erscheinenden Herzmuskel etwa 10% und in einer sehr müde pumpendem Herzwand noch bis zu 50% der Herzmuskelzellen überlebt haben. Wenn man das verschlossene Gefäß nun wieder eröffnen würde würde der Herzmuskel aus seinem Winterschlaf erwachen und wieder mit seiner Pumparbeit beginnen. Ist er allerdings vollständig abgestorben wird auch die Wiedereröffnung des Gefäßes nicht helfen, denn der Herzmuskel ist nun unwiderruflich zerstört und gegen Narbe ausgetauscht.

      Die Myokardszintigraphie kann unterscheiden, ob der Herzmuskel irreparabel vernarbt ist oder ob noch Rest von Herzmuskelzellen überlebt haben. In diesen Fällen führt man eine Myokardszintigraphie durch, um zu klären, welches Ausmaß an Vernarbung ein Herzinfarkt verursacht hat, ob es sinnvoll ist, die verschlossene Arterie wieder zu eröffnen oder ob eine solche Wiedereröffnung bei bereits vollständiger Vernarbung wenig Sinn macht.

    3. Der Verdacht auf das Vorliegen einer Koronarerkrankung ergibt sich in vielen Fällen aus bestimmte Beschwerden, die ein Betroffener schildert.

      Eine solche klinische Verdachtsdiagnose ist aber allein oft nicht zuverlässig genug, einen Patienten einer Herzkatheteruntersuchung zu unterziehen. Bei Menschen, deren Beschwerden nicht eindeutig sind führt man daher in aller Regel als nächsten diagnostischen Schritt ein Belastungs-EKG durch.

      Ein solches Belastungs-EKG hilft manchmal aber auch nicht weiter, denn es erkennt Menschen mit einer tatsächlich vorliegenden Koronarerkrankung nur in 60 - 70% der Fälle; mit anderen Worten: In 30 - 40% aller Patienten übersieht es die Krankheit.

      Mit der Myokardszintigraphie steigert man diese Trefferquote auf etwa 90%. In solchen Fällen wird die Szintigraphie also durchgeführt, um bei nicht eindeutigen Beschwerden weitere Klarheit zu schaffen.

    4. Auch Menschen, die bereits eine Bypass-Operation oder Ballonerweiterung (PTCA) hinter sich haben können nach dem Eingriff Beschwerden bekommen. Wenn diese Beschwerden wie typische Angina pectoris beschrieben werden oder einen Charakter wie vor dem Eingriff haben ist die Entscheidung zum weiteren Vorgehen klar: Hier muß erneut eine Herzkatheteruntersuchung durchgeführt werden.

      Problematisch ist es aber immer dann, wenn die Beschwerden nicht typisch sind oder wenn sie „anders“ als vor der Operation oder PTCA haben und problematisch ist es auch in denjenigen Fällen, in denen ein Belastungs-EKG keine Auffälligkeiten ergaben hat.

      In solchen Fällen sieht der Arzt in aller Regel noch keine Notwendigkeit zur Katheteruntersuchung, kann die Sache aber auch nicht auf sich beruhen lassen, denn schließlich ist eine Erkrankung der Herzkranzgefäße ja schon bekannt. Hier kann man eine Szintigraphie einsetzen, um nach Durchblutungsstörungen als Folge eines Bypass-Verschlusses oder eine Bypass-Verengung, nach einem Stent-Verschluß, einer Einengung im Stentbereich oder eines Fortschreitens der Koronarkrankheit zu suchen. Auch hier hilft die Szintigraphie dabei, die Entscheidung über die Notwendigkeit einer erneuten Katheteruntersuchung zu fällen.

    5. In einigen Fällen ist es nicht möglich, den Verdacht auf das Vorliegen einer Koronarkrankheit, der sich durch bestimmte Beschwerden ergibt, durch EKG´s weiter abzuklären, weil das EKG ganz bestimmte Formveränderungen aufweist. Bei Menschen
      • mit einem sogenannten Linksschenkelblock,
      • bei denen ein Herzschrittmacher implantiert wurde oder
      • die mit einem Medikament namens Digitalis behandelt werden

      ist die EKG-Kurve beispielsweise bereits von sich aus derartig verändert, daß die typischen Kurvenveränderungen durch den Sauerstoffmangel und die Durchblutungsstörung des Herzmuskels nicht mehr erkennbar sind. In diesen Fällen ist die Durchführung einer Myokardszintigraphie ebenfalls sinnvoll, wenn die Betroffenen unklare Brustbeschwerden haben, um nach Durchblutungsstörungen des Herzens zu suchen.

    In allen oben beschriebenen Situationen benutzt man die Szintigraphie dazu, um bei Menschen mit bestimmten Beschwerden den Verdacht auf das Vorliegen einer Koronarerkrankung weiter abzuklären und um entscheiden zu können, ob eine Herzkatheteruntersuchung notwendig ist oder nicht. Es ist aber durchaus vorstellbar, daß ein Mensch keinerlei Beschwerden hat, daß er aber sicher sein möchte, daß seine Herzkranzgefäße nicht verengt sind oder daß Risikofaktoren für eine Koronarkrankheit (z.B. Rauchen, erhöhter Blutdruck, erhöhte Blutfettwerte, Zuckerkrankheit) nicht zu einer Gefäßverengung geführt haben.

    In diesen Fällen wäre die Szintigraphie eine Vorsorgeuntersuchung, über die Sie mehr lesen können, wenn Sie hier klicken. Um es vorweg zu sagen:

    In diesen Fällen besteht in aller Regel keine Notwendigkeit zur Szintigraphie und zwar aus folgenden Gründen:

    Daher hat die Szintigraphie bei einer reinen Vorsorgeuntersuchung beschwerdefreien Menschen keinen Stellenwert.

    Wer darf nicht untersucht werden?

    Seitens der Szintigraphie selber, d.h. der Gabe radioaktiver Substanzen besteht das einzige Verbot darin, daß Schwangere und Kinder nicht untersucht werden dürfen, weil man Schädigungen der sich schnell teilenden Zellen verhindern muß. In allen anderen Fällen ist die Gabe der Radioaktivität problemlos möglich.

    Für das Belastungs-EKG im Rahmen der Szintigraphie gelten dieselben absoluten Verbote wie für ein normales Belastungs-EKG:

    In anderen Situationen gilt ein Belastungs-EKG nicht prinzipiell als verboten, hier muß aber genau überlegt werden, ob der Nutzen der Untersuchung größer ist als ihr Risiko:

    Bezüglich der Gabe gefäßerweiternder Medikamente für „pharmakologische Belastungen“: Siehe entsprechender Abschnitt dieses eBooks.

    Alternativen zur Myokardszintigraphie

    Streß-Echokardiographie

    Die Streß-Echokardiographie basiert auf der Kenntnis, daß sich lebendiger und gut durchbluteter Herzmuskel kräftig bewegt, daß sich abgestorbener Herzmuskel überhaupt nicht mehr bewegt und daß Herzmuskel, der infolge einer Gefäßverengung zu wenig Blut bekommt müde bewegt, sehen Sie Einzelheiten dieser Untersuchung, wenn Sie hier klicken.

    Man betrachtet bei dieser Untersuchung die linke Herzkammer im Ultraschall. Dabei achtet man darauf, wie sich die einzelnen Herzwände in Ruhe bewegen.

    Danach führt man eine Belastung mit Hilfe eines Fahrrades oder mit bestimmten Medikamenten durch und beobachtet, ob diese Belastung Auswirkungen auf die Pumpbewegungen der Herzwände hat.

    Sieht man in Ruhe normale Bewegungen der Herzkammerwände und kommt es auch unter der Belastung nicht zu einer Ermüdung der Wände ist die Durchblutung des Herzmuskels ohne Störungen.

    Kommt es unter Belastung aber zu einer Ermüdung einer der Herzwände kann man vermuten, daß die Ader, die diese Wand mit Blut versorgt verengt ist, was unter Belastung zu einer Durchblutungsstörung führt.

    Und wenn man schließlich in Ruhe eine Müdigkeit einer Herzwand sieht, die sich unter Belastung nicht verbessert dann dürfte eine Vernarbung der Herzwand vorliegen.

    Wenn sich die Bewegungsintensität der in Ruhe müde pumpenden Herzwand unter Belastung allerdings verbessert ist die Vernarbung der betreffenden Wand nicht vollständig, d.h. die wand enthält noch größere Reste lebendigen Herzmuskels.

    Das Ganze funktioniert in ähnlicher Weise wie die Szintigraphie und auch die Trefferquoten sind der Szintigraphie sehr ähnlich.

    Man kann also grundsätzlich eine der beiden Untersuchungsmethoden (Streß-Echo oder Szintigraphie) einsetzen, um die gestellte Frage (Durchblutungsstörung ja oder nein? Vernarbung ja oder nein?) zu beantworten.

    Grundsätzlich hat die Streß-Echokardiographie sogar der Szintigraphie gegenüber den Vorteil, daß keine radioaktive Strahlung eingesetzt werden muß. Der Nachteil des Streß-Echos ist aber die Qualität der Bilder, denn oft sind Menschen, bei denen nach einer Durchblutungsstörung des Herzens sucht oder bei denen man bei bereits bewiesener Koronarkrankheit weiter untersuchen muß übergewichtig und (Ex-) Raucher. Diese beiden Faktoren schränken die Auswertbarkeit der Echokardiographie oft so stark ein, daß eine aussagekräftige Betrachtung der linken Herzwände nicht mehr möglich ist. Man sagt, daß nur etwa 70 - 80% aller Streß-Echos auswertbar sind, wobei dies allerdings von der Art der Untersuchung (körperliche Belastung oder Belastung mittels Medikamenten), von der technischen Ausstattung des Echogerätes und der Erfahrung des Untersuchers abhängt.

    MRT

    Eine relativ neue Untersuchungsmethode ist die Kernspin-Tomographie (= Magnetresonanz-Tomographie = MRT), siehe hierzu Band 10 dieser eBook-Reihe.

    Man kann mit diesem Untersuchungsverfahren Bilder des sich bewegenden Herzens in bislang nie gekannter Qualität sehen. Die Frage nach Durchblutungsstörungen des Herzmuskels oder die Frage nach der Vernarbung einer Herzwand wird hier mit 2 verschiedenen Prinzipien beantwortet:

    1. Ebenso wie beim Streß-Echo betrachtet man die Bewegungen der Herzwände in Ruhe und unter Belastung. Kommt es unter der Belastung zu einer Müdigkeit der Herzwandbewegungen dürfte eine bedeutsame Gefäßverengung und damit eine Durchblutungsstörung vorliegen.

      Weil unter den starken Magneten, mit denen diese Untersuchung arbeitet kein Fahrrad zur körperlichen Belastung benutzt werden kann ist man allerdings ausschließlich auf die unten beschriebenen pharmakologischen, d.h. medikamentöse Formen der Belastung angewiesen.

    2. Der 2. Ansatz der Kernspintomographie basiert auf dem Verhalten eines speziellen Kontrastmittels, daß man während einer pharmakologischen Belastung intravenös einspritzt:

      Das Kontrastmittel sickert von den Außenwänden des Herzens schnell in die Tiefe des Herzmuskels.

      Diese „Durchtränkung“ des Herzmuskels kann man in der Kernspin-Untersuchung beobachten. Wenn eine Koronararterien verengt oder gar verstopft ist sickert das Kontrastmittel natürlich langsamer durch die gesamte Tiefe des Herzmuskels. Aus der Geschwindigkeit, mit der das Kontrastmittel die einzelnen Herzwände durchtränkt kann man dann auf den Zustand der einzelnen Herzkranzgefäße und auf deren evtl. Verengung schließen.

    Dieses Verfahren ist bereits sehr verläßlich und kann mit den anderen Untersuchung (Myokardszintigraphie und Streß-Echo) sehr gut verglichen werden und ist ihnen teilweise sogar überlegen. Dies betrifft vor allem die Feststellung von Narben im Herzmuskel, die im Gefolge eines Herzinfarktes oder einer Herzmuskelentzündung entstanden sind. Hierzu benutzt man einen Effelt mit Namen "late enhancement":

    Dazu spritzt man ein spezielles MRT-Kontrastmittel (= Gadolinium) intravenös ein und fertigt Bilder des Herzens etwa etwa 30 Minuten nach dieser Einspritzung an.

    In vernarbtem Herzmuskel sieht man dann eine Anreicherung des Kontrastmittels, während das Kontrastmittel aus den anderen, nicht vernarbten Herzwänden längst wieder abgeflossen ist.

    An Stellen vernarbten Herzmuskels kann man in solchen Fällen einen mehr oder weniger dicken Kontrastmittelstreifen sehen. Immer dann, wenn man diesen spät angereicherten Kontrastmittelstreifen sieht kann man davon ausgehen, daß diese Herzwand vernarbt ist.

    Abb. 24
    Herznarbe im MRT. Beachten Sie den weißen Streifen in der Vorderwand des Herzens (Pfeile).

    Dabei spielt es keine Rolle, warum diese Vernarbung aufgetreten ist, also beispielsweise als Folge eines Herzinfarktes oder im Gefolge einer Herzmuskelentzündung.

    Aus der Dicke des Kontrastmittelstreifens kann man darüber hinaus Rückschlüsse auf die Schwere der Vernarbung ziehen: Ein nur schmaler Streifen nahe der Innenseite der Herzwand spricht für eine nur geringe, ein breiter Streifen (Abb. 24), der von der Innen- bis zur Außenseite des Herzens reicht für eine vollständige Vernarbung der Herzwand.

    Auch hier kann man die Frage, ob man eine weitere Behandlung (Ballonerweiterung oder Bypass-Operation) durchführen soll vom Ergebnis der MRT-Untersuchung abhängig machen.

    Die Kernspin-Untersuchung ist ein noch relativ junges Verfahren. Beim Nachweis von Herznarben stellt es heute aber die beste verfügbare Untersuchungsmethode durch.

    Ergebnisse

    Grundsätzlich muß man bei der Durchführung und Interpretation von Szintigraphien 3 Dinge wissen:

    1. Die Aussagekraft der Untersuchung ist davon abhängt, wie stark sich ein Mensch körperlich belasten kann.

      Man mißt die maximale Belastbarkeit eines Menschen anhand seiner Herzfrequenz während der Belastung und schätzt, daß er sich maximal hat belasten können, wenn er 80% des Wertes: 220 - Lebensalter erreicht hat.

      In diesen Fällen ist die Szintigraphie sehr treffsicher und erkennt bedeutsam verengte Herzkranzgefäße in 90% aller Fälle.

      Umgekehrt gilt, daß die Untersuchung dann auch im negativen Fall sehr treffsicher ist, d.h.:

      Wenn die Untersuchung bei maximaler Herzfrequenz einen normalen Befund ergeben hat liegt tatsächlich auch in 80 - 90% aller Fälle keine bedeutsame Gefäßverengung vor.

      Kann sich ein Mensch nicht bis zu dieser maximalen Herzfrequenz belasten ist die Treffsicherheit der Szintigraphie wesentlich geringer und die Möglichkeit, eine bedeutsame Verengung „zu übersehen“ steigt enorm an.

      Es ist daher für alle Menschen, die sich einer Szintigraphie unterziehen müssen äußerst wichtig, sich auf dem Fahrrad so stark zu belasten wie es geht. Wenn es Hinderungsgründe für eine solche starke Belastung gibt (z.B. wegen schmerzhaften Durchblutungsstörungen der Beine, allgemeiner Gebrechlichkeit usw.) dann kann man ein anderes Verfahren der Belastung anwenden, über das weiter unten berichtet werden wird („Pharmakologische Belastung“).

    2. Desweiteren muß man wissen, daß ein durchblutungsgestörtes Herzwandgebiet eine bestimmte Größe haben muß, um mit der Szintigraphie erkannt zu werden.

      Betrifft die Koronarkrankheit beispielsweise nur eine kleine Nebenader so wird auch die Durchblutungsstörung, die aus einer Gefäßverengung oder einem Gefäßverschluß resultiert nur einen kleinen Teil des Herzmuskels betreffen. Ein solch kleines Herzmuskelgebiet kann die Szintigraphie nicht erkennen. In solchen Fällen scheint die Untersuchung ein normales Ergebnis zu haben, obwohl in Wahrheit trotzdem eine Gefäßverengung oder sogar ein Gefäßverschluß vorliegen.

      Wichtig ist es in solchen Fällen zu wissen, daß die Erkrankung nur kleiner Gefäße für die Lebenserwartung eines Menschen bedeutungslos ist und daß die „falsche Normalität“ der Szintigraphie den betroffenen Menschen nicht gefährdet. Sollte dieser Mensch aber Gefäßverengungen haben, die mit Beschwerden verbunden sind, dann sollte man eine Herzkatheteruntersuchung durchführen, um zu prüfen, mit welcher Behandlung (z.B. Ballonerweiterung) diese Beschwerden gelindert oder sogar beseitigt werden können.

    3. Die Szintigraphie hat die Aufgabe, bedeutsame Befunde an den Herzkranzarterien zu finden, die man nachfolgend entweder durch eine Herzkatheteruntersuchung weiter klären muß oder die nach einer Herzkatheteruntersuchung durch eine Ballonerweiterung oder Bypass-Operation behandeln muß.

      Wenn ein Mensch, gleichgültig aus welchen Gründen, schon im Vorfeld der Untersuchungen weiß, daß er nachfolgend keine Herzkatheteruntersuchung durchführen lassen möchte oder weder Ballonerweiterung oder Bypass-Operation wünscht dann ist die Durchführung einer Szintigraphie wenig sinnvoll. Denn man würde nun evtl. einen Befund erheben, der für die weitere Untersuchung bzw. Behandlung eines Menschen keinerlei Konsequenzen hat.

    Und nun zu den einzelnen Ergebnissen:

    Normaler Befund

    normale Szintigraphie
    Abb. 25

    Sie sehen in Abb. 25 die Szintigraphie einer 57 Jahre alten Frau, die sich wegen Brustschmerzen vorstellte.

    Die Schmerzen traten bei Bewegungen und auch bei Belastungen und nachts auf. Sie rauchte Zigaretten und hatte erhöhten Blutdruck.

    Im Belastungs-EKG waren auffällige Kurvenveränderungen festzustellen, die aber nicht mit entsprechenden Beschwerden gemeinsam auftraten. Weil solche auffälligen EKG-Veränderungen bei Frauen häufiger einmal feststellbar sind, ohne daß Verengungen der Herzkranzgefäße vorliegen (den Grund dafür kennt man nicht!) und weil ihre Beschwerden nicht ganz typisch waren wurde eine Myokardszintigraphie durchgeführt.

    Die Untersuchung ergab einen normalen Befund:

    In der oberen Bildreihe sehen Sie die Bilder der Herzdurchblutung unter körperlicher Belastung, in der Reihe darunter die Durchblutung in Ruhe.

    Sie sehen, daß die Bilder in allen abgebildeten Wandbereichen in Ruhe und unter Belastung normal aussehen. Sie sehen keine Aktivitätsdefekte und die Durchblutung ist in allen Wandbereichen sowohl unter Belastung als auch in Ruhe normal.

    Nach diesem unauffälligen Szintigramm konnte eine bedeutsame Koronarerkrankung ausgeschlossen werden. Bei den nachfolgenden Untersuchungen wurde eine Refluxkrankheit der Speiseröhre (Rückfluß von Magensäure in die Speiseröhre mit nachfolgender schmerzhafter Verätzung der Speiseröhre) festgestellt, die mit Medikamenten behandelt wurde. Die Frau ist mittlerweile beschwerdefrei.

    geringe Stenose
    Abb. 26

    Bei dem 2. Fall handelt es sich um einen 69 Jahre alten Mann, der ähnlich wie die oben beschriebene Dame Schmerzen hatte, die im Rücken begannen und von dort aus in die Herzgegend ausstrahlen. Weil er Diabetiker war, rauchte, erhöhten Blutdruck und erhöhte Blutfettwerte hatte wurde eine Herzkatheteruntersuchung durchgeführt.

    Diese zeigte in 1 der 3 Herzkranzgefäße eine Verengung von einem Ausmaß von etwa 50% (Abb. 26).

    normale Hinterwand
    Abb. 27

    Um die Wirksamkeit dieser Verengung zu klären, um einen Zusammenhang zwischen Beschwerden und Durchblutungsstörung des Herzmuskels und um damit über die weitere Behandlung zu entscheiden wurde eine Myokardszintigraphie durchgeführt.

    Diese ergab einen normalen Befund (Abb. 27). Dies bedeutete, daß die Verengung der Herzkranzarterie zu keiner Durchblutungsstörung führt, es wurde daher auch keine weitere Behandlung wie Ballonerweiterung oder Bypass-OP durchgeführt, sondern „ausschließlich“ eine strenge Einstellung seiner Risikofaktoren (Blutdruck, Blutfettwerte, Blutzuckerkrankheit) eingeleitet (leider raucht der Patient bis zum heutigen Tag weiter). Er ist mittlerweile wieder ohne Beschwerden.

    Durchblutungsstörung

    Vorderwand-Ischämie
    Abb. 28

    Auch bei diesem Patienten wurde bei einer Herzkatheteruntersuchung eine Verengung festgestellt, deren Blutfluß-blockeriende Wirkung nach den Katheterbildern alleine nicht sicher war. Auch bei diesem Mann wurde eine Szintigraphie durchgeführt, die nun aber eine Durchblutungsstörung in der Vorderwand des Herzens zeigte.

    Sie sehen dies in Abb. 28 daran, daß in den Belastungsbildern (obere 2 Bilder) weniger Kontrastmittel in der Vorderwand gespeichert wir als in den anderen Wänden und daß die Kontrastmittelspeicherung in Ruhe wieder normal wird.

    Dieser Befund zeigt an, daß die Verengung, die man bei der Herzkatheteruntersuchung sieht auch zu einer Durchblutungsstörung des Herzmuskels führt und daß man diese Verengung nach Möglichkeiten (z.B. durch eine Ballonerweiterung) beseitigen sollte.

    Narbe

    Die Patientin, deren Szintigraphiebilder Sie nachfolgend sehen hatte vor 2 Monaten einen Herzinfarkt erlitten.

    Verschluß
    Abb. 29

    Die Vorderwand bewegte sich nur noch sehr müde, die Arterie, die die Vorderwand versorgt war verschlossen (Abb. 29).

    Neben diesem Gefäßverschluß hatte die Frau noch Verengungen an einer anderen Herzkranzarterie.

    Nach der Katheteruntersuchung stellte sich also die Frage, ob man „nur“ die noch verengte Stelle an der anderen Ader mittels einer Ballonerweiterung behandeln sollte oder ob man auch die verschlossene Vorderwandarterie wieder eröffnen solle, was aber geeigneterweise mit einer Bypass-Operation am besten möglich wäre.

    Szinti-Narbe
    Abb. 30
    Unter Belastung und in Ruhe fast vollständiger Aktivitätsausfall über der Vorderwand. Nur in den oberen Anteilen der Vorderwand findet sich noch etwas lebendiger Herzmuskel.

    Die Szintigraphie (Abb. 30) zeigte unter Belastung den Speicherdefekt in der Vorderwand, der sich auch in den Ruheaufnahmen nicht auffüllte.

    Mit anderen Worten bedeutete dies, daß die Vorderwand durch den Infarkt vollständig vernarbt war. Eine Bypass-Operation hätte also keinen Sinn gehabt, denn diese Narbe wäre niemals wieder zum Leben erweckt worden. Man konnte der Frau also das Risiko der Operation ersparen und hat sich auf die Ballonerweiterung der verengten anderen Arterie beschränkt.

    Im letzten Fall sehen Sie wiederum den Fall eines Mannes, der einen großen Vorderwand erlitten hatte.

    Bei der Herzkatheteruntersuchung fand sich ebenfalls eine vergrößerte linke Herzkammer, deren Vorderwand sich müde bewegte und eine Verengung der die Vorderwand versorgenden Arterie.

    Diese Arterie konnte in den Stunden nach dem Herzinfarkt durch die Infusion bestimmter Medikamente (eine Ballonerweiterung stand dem Krankenhaus damals nicht zur Verfügung) wieder eröffnet werden. Zurück blieb jedoch eine hochgradige Gefäßverengung, die anderen Gefäße waren unauffällig.

    Es stellte sich auch hier die Frage, welchen Schaden der Infarkt hinterlassen hatte:

    Vorderwand-Ischämie
    Abb. 31
    Unter Belastung fast vollständiger Aktivitätsausfall über der spitzennahen Vorderwand. In Ruhe jedoch wieder Normalisierung der Kontrastmittelanreicherung.

    Zur Beantwortung dieser Frage (Vorderwand des Herzens abgestorben oder nicht?) wurde eine Myokardszintigraphie (Abb. 31, Sie haben diese Abbildung schon einmal gesehen)) durchgeführt.

    Sie ergab unter Belastung eine fast vollständige Aktivitätsverminderung in der spitzennahen Vorderwand (roter Pfeil in Abb. 31), in Ruhe (grüner Pfeil) aber eine deutlich verbesserte Kontrastmittelanreicherung.

    Dies sprach dafür, daß in der Vorderwand noch große Mengen lebendigen Herzmuskels übrig geblieben waren.

    Aus diesem Grund wurde nachfolgend eine Ballonerweiterung mit Einpflanzung eines Stent durchgeführt.

    Pharmakologische Belastung

    In einigen Fällen ist es nicht möglich, einen Menschen mit dem Fahrrad körperlich zu belasten. Wenn jemand zum Beispiel an einer Durchblutungsstörung der Beine leidet kann er sich nicht stark belasten, weil dies heftige Schmerzen in den Unterschenkeln verursacht.

    In solchen Fällen kann man das Herz mit bestimmten Medikamenten „künstlich“ belasten. Die Medikamente, die man dazu benutzt heißen Adenosin, Dipyramidol, Atropin oder Katecholamine, wobei heute aber nur das Adenosin eingesetzt wird.

    Adenosin kann nur intravenös in Form einer Infusion gegeben werden. Dazu wird zu Beginn der Untersuchung eine Kanüle in eine Vene des Armes eingeführt.

    Anstelle der körperlichen Belastung auf dem Fahrrad wird eine Infusion in stufenweise ansteigender Dosis gegeben.

    Man spürt diese Infusion als kräftiges Herzklopfen oder als Hitzegefühl im Kopf.

    Nach einer bestimmten Zeit und Zeitdauer wird die Infusion beendet und das radioaktive Kontrastmittel eingespritzt.

    2-3 Stunden nach Gabe des Tracers Technetium werden dann, wie schon der „normalen“ Szintigraphie, die Bilder angefertigt.

    Die Gabe der Belastungs-Medikamente folgt einem bestimmten Protokoll, d.h. es ist aus Erfahrung festgelegt worden, wie lange die Infusion mit welcher Medikamentendosis gegeben wird.

    Manchmal kombiniert man auch die Gabe verschiedener Medikamente (z.B. durch Zugabe von Atropin) oder man führt gleichzeitig mit der Infusion eine leichte Fahrradbelastung durch, um die Aussagekraft der Untersuchung zu erhöhen.

    Normalerweise durchläuft man dieses Protokoll vom Anfang bis zum Ende. Die Infusion wird aber vorzeitig beendet, wenn während der Medikamentengabe bestimmte EKG-Veränderungen auftreten, die für das Auftreten bedeutsamer Durchblutungsstörungen des Herzens sprechen oder wenn der zu untersuchende Mensch heftige Brustschmerzen bekommt.

    Die Belastungsmedikamente, die man für eine pharmakologische Belastung benutzt sind sehr sicher und gut verträglich. Als leichtere Nebenwirkungen können Kopfdruck, leichte Übelkeit oder verstärktes Herzschlagen auftreten.

    Wie bei allen Belastungsuntersuchungen können durch die möglicherweise erzeugte Minderversorgung des Herzmuskels Herzrhythmusstörungen auftreten oder verstärkt werden. Dies ist bei etwa 10% der Patienten der Fall. Meistens handelt es sich bei diesen Herzrhythmusstörungen um harmlose Extraschläge, die durch Abschalten der Infusion von alleine verschwinden.

    Die schwerste Komplikation ist das Herzkammerflimmern mit einer Häufigkeit von etwa 0,25 % sehr selten auftritt. Es muß durch eine Elektroschockbehandlung sofort beendet werden, weil Kammerflimmern ansonsten tödlich verläuft.

    Bei Patienten, die Atropin erhalten haben, kann das Sehvermögen in den ersten 2 Stunden nach der Untersuchung eingeschränkt sein, sodaß man Schwierigkeiten beim Lesen hat. Zudem hat man für etwa 1 - 2 Stunden das Gefühl eines trockenen Mundes.

    Das Herzklopfen oder die Hitzewallungen während der Infusion sind „normale“ Nebenwirkungen der Medikamente und nicht auf eine bedeutsame Untersuchungskomplikation zu beziehen).

    24 Stunden vor der Untersuchung sollte man keinen Tee, Kaffee oder Cola trinken und keine Schokolade essen, da hierdurch das Ergebnis der Untersuchung verfälscht werden kann. Auch dürfen bestimmte Medikamente wie Asthmamedikamente, Kalziumantagonisten, ß-Blocker oder Nitrate vor der Untersuchung nicht eingenommen werden, weil sie die Arbeitsweise des Adenosin abschwächen und die Untersuchung so nicht auswertbar ist.

    So schön diese Untersuchungsmethode auch klingt, weil sie die anstrengende körperliche Belastung vermeidet: Sie ist der Untersuchung mit dem Fahrrad deutlich unterlegen, indem sie nur eine Trefferquote von etwa 75% hat. Das heißt, daß von 100 Menschen mit bedeutsam verengten Herzkranzgefäßen 1/4 nicht erkannt werden.

    Gated blood pool

    Mit Hilfe dieser Untersuchungsmethode kann man die Pumpfunktion des Herzens messen.

    Man benutzt dazu Substanzen, die für längere Zeit innerhalb der Blutgefäße des Kreislaufes verbleiben. Dazu kann man beispielsweise das Eiweiß des Blutes oder sogar die roten Blutkörperchen (Erythrozyten) mit Technetium markieren.

    Counts bei Herzschlag
    Abb. 32
    Änderung in der Strahlungsintensität über dem Herzen während 1 Herzschlages

    Das somit radioaktiv markierte Blut befindet sich in allen Blutgefäßen des Körpers und natürlich auch im Herzen. In der Füllungsphase des Herzens befindet sich besonders viel „Kontrastmittel“ in den Herzkammern, in der Entleerungsphase deutlich weniger.

    Da das Kontrastmittel radioaktive Strahlung abgibt bedeutet dies, daß die Herzkammern in vollständig gefülltem Zustand viel Radioaktivität abstrahlen und in den Phasen der Herzentleerung nur wenig.

    Sie sehen die Intensität der Strahlung über dem Herzen in der folgenden Abbildung 32.

    Aus dem Verhältnis der Strahlungsintensität während der maximalen Füllungs- und Entleerungsphase kann man berechnen, wie kräftig das Herz pumpen kann.

    Man drückt diese Pumpkraft des Herzens in der sogenannten Ejektionsfraktion (= Auswurfleistung) aus, die angibt, um wieviel Prozent sich ein Herz zusammenziehen kann und wieviel seines maximal gefüllten Blutes es mit einem Herzschlag auspumpen kann.

    Normalerweise sollte dies mehr als 50% sein.

    Das Interessante an dieser Untersuchungstechnik ist, daß man die Pumpfähigkeit des Herzens nicht nur in körperlicher Ruhe, sondern auch unter Belastung messen kann. Es ist nämlich überhaupt kein Problem, die Pumpfunktion in Ruhe mittels Ultraschall, Herzkatheteruntersuchungen oder der Kernspintomographie zu bestimmen; oft sind diese anderen Untersuchungsmethoden bei der Bestimmung der Pumpfunktion sogar genauer. Es ist aber ein großes technisches Problem, solche Messungen auch unter Belastung mit ausreichender Genauigkeit durchzuführen.

    Die Gated Blood Pool-Technik erlaubt solche Belastungsuntersuchungen aber sehr zuverlässig.

    Solche Messungen der Pumpfunktion des Herzens sind bei verschiedenen Krankheiten, nicht nur bei Durchblutungsstörungen des Herzens sehr wichtig. So kann man beispielsweise aus dem Verhalten der Pumpfunktion des Herzens unter Belastung Rückschlüsse auf die Schwere von Herzklappenfehlern oder Herzmuskelerkrankungen ziehen und bei Menschen mit bestimmten Herzklappenfehlern etwas dazu sagen, wann dieser Klappenfehler operiert werden muß.

    Normalerweise nimmt die Pumpfähigkeit des Herzens unter Belastung um 5% zu. Eine unter Belastung gleichbleibende oder sogar verminderte Auswurfleistung des Herzens spricht für einen bedeutsamen Herzschaden. Bei Patienten unter Chemotherapie weist ein Abfall der Auswurfleistung um 5% im Verlauf auf eine beginnende Herzmuskelschädigung hin.

    Der Nachteil einer Myokardszintigraphie, wenn man sie mit einer Gated Blood Pool-Untersuchung kombinieren wollte besteht darin, daß man 2 verschiedene radioaktiv strahlende Kontrastmittel verwenden muß:

    Das eine, um den Herzmuskel anzufärben und das andere, um das Blut innerhalb der Blutgefäße und des Herzens zu markieren. Um diesen Nachteil zu beseitigen hat man in den letzten Jahren ein anderes Verfahren entwickelt:

    Getriggerte Szintigraphie

    Szintigraphiescheiben Scheibchenmethode
    Abb. 33 Abb. 34

    Dazu benutzt man Szintigraphiebilder wie diejenigen, die Sie in der Abbildung 33 sehen:

    Man kann auf diesen Bildern die Wände der linken Herzkammern sehen, wobei diese Wände in jedem der verschiedenen Bilder in verschiedenen Schichten dargestellt werden.

    Diese Querschnittsschichten kann man nun wie Scheiben wieder zusammensetzen. Hierdurch erhält man ein 3-dimensionales Abbild des Herzens. Und aus diesem 3-dimensionalen Abbild der linken Herzkammer kann man nun berechnen, wie groß der Innenraum dieser Herzkammern, das Kammervolumen ist (Abb. 34).

    Im Ablauf eines Herzschlages gibt es 2 interessante Momente:

    Denjenigen Augenblick, zu dem sich die linke Herzkammer vollständig entleert hat und den Moment, in dem es komplett gefüllt ist. Die Füllung ist am Ende der Erschlaffungsphase der Herzkammer, d.h. am Ende der Diastole abgeschlossen, weshalb man diesen Augenblick „Enddiastole“ nennt.

    Die Entleerungsphase der Herzkammer ist am Ende der Pumpphase, d.h. der Systole abgeschlossen, weshalb man diesen Augenblick die „Endsystole“ nennt. Zum Zeitpunkt der Enddiastole hat die Herzkammer also ihr maximales Füllungsvolumen, zum Zeitpunkt der Endsystole ihr geringstes Volumen.

    Aus dem Unterschied zwischen dem enddiastolischen und dem endystolischen Volumen kann man somit berechnen, wieviel Blut die Herzkammer mit 1 Schlag auspumpt. Diese Blutmenge nennt man „Schlagvolumen“. In der Kardiologie hat sich eingebürgert, nicht das Schlagvolumen als gängigen Meßwert zu benutzen, sondern den prozentualen Anteil des enddiastolischen Volumens, den die Herzkammer mit einem Schlag auspumpen kann. Diesen prozentualen Anteil nennt man „Ejektionsfraktion“.

    Sie beträgt im Normalfall immer mehr als 50%, d.h. die Herzkammer kann im Normalfall immer mehr als die Hälfte ihres maximalen Füllungsvolumens auspumpen.

    Um das enddiastolische und endsystolische Volumen nach der oben beschriebenen „Scheibchenmethode“ mit Hilfe der Szintigraphie bestimmen möchte muß man also die Herzkammer einmal zum Zeitpunkt der Enddiastole und zum anderen zum Zeitpunkt der Endsystole abbilden. Diese Zeitpunkte kann man aus dem EKG entnehmen.

    Film 2
    Erst durch wiederholte Aufnahmen der Radioaktivitätsspeicherung verdichtet sich das Bild, sodaß man das Herz am Ende sehen kann

    Für die getriggerte Szintigraphie geht man nun so vor, daß man die gamma-Kamera an ein EKG anschließt und die Apparatur mit Hilfe des EKG-Signals so einstellt, daß zunächst nur zum Zeitpunkt der Enddiastole Bilder geschossen werden. Ein einzelnes Bild aus einem einzigen Herzschlag nimmt aber nur sehr wenig radioaktive Strahlung aus dem Herzen aus, weshalb aus einem solchen einzigen Bild keine vernünftige Abbildung entstehen würde. Daher nimmt die gamma-Kamera aus 20 - 30 Herzschlägen Bilder ausschließlich zum Zeitpunkt der Enddiastole auf und summiert die radioaktiven Aktivitäten jeden einzelnen Bildes zum Gesamtbild (Film 2).

    Wenn die enddiastolischen Bilder aufgenommen und abgespeichert worden sind folgt als nächstes in derselben Arbeitsweise die Aufnahme der endsystolischen Bilder:

    Wieder wird das gesamte System so eingestellt, daß 20 - 30 einzelne Bilder aufgenommen und die minimale Radioaktivität der einzelnen Bilder zu einem einzigen qualitativ guten Bild summiert werden.

    Weil die Aufnahmefähigkeit der gamma-Kamera durch die Koppelung an das EKG nur zu ganz bestimmten Zeiten freigeschaltet wird nennt man diese Art der Aufnahme „getriggerte Aufnahme“ (vom englischen Wort „trigger“ = Auslöser).

    Der Vorteil dieses Verfahrens besteht darin, daß man mit einer einzigen Untersuchung sowohl die Durchblutung des Herzmuskels als auch die Pumpfähigkeit des Herzens, d.h. die Ejektionsfraktion untersuchen kann. Es ist kein Einsatz eines 2. radioaktiven Kontrastmittels erforderlich, sondern alles erfolgt in einem einzigen Arbeitsgang.

    Obwohl die Untersuchung nach der Belastung erfolgt handelt es sich bei den Werten der Ejektionsfraktion dennoch um Ruhe-Werte. Dies ergibt sich aus der Methodik der Untersuchung:

    Die Radioaktivität wird zwar bereits am Ende der Belastung eingespritzt, die Bilder aber erst 1 - 2 Stunden später aufgenommen, weil sich der Tracer erst im Herzen anreichern muß, was die besagte Zeit erfordert. 1 - 2 Stunden nach der Belastung bedeutet aber, daß sich der Patient zu diesem Zeitpunkt in körperlicher Ruhe befindet, weshalb es sich natürlich bei dem Wert der Ejektionsfraktion, die ja erst zu diesem Zeitpunkt ermittelt wird, um einen Ruhewert handelt.

    Will oder muß man die Ejektionsfraktion unter Belastung ermittelt geht an der gated-blood-Pool-Untersuchung kein Weg vorbei, wozu man allerdings einen 2. Tracer benötigt (s.o.).

    PET = Positronen-Emissions-Tomographie

    Ganz allgemein gesprochen funktioniert diese Art der Szintigraphie ebenso wie dies eingangs für die „normale“ Szintigraphie beschrieben wurde:

    Radioaktives Kontrastmittel lagert sich für eine kurze Weile im Herzmuskel ab und die hiervon ausgehende Strahlung wird von einer speziellen Kamera aufgefangen und zu Bildern verarbeitet.

    Bei einer PET-Untersuchung benutzt man aber vollkommen andere Kontrastmittel, deren Radioaktivität man nun nicht mehr mit einer normalen gamma-Kamera auffangen kann.

    Als „Kontrastmittel“ benutzt man beim PET sogenannte Positronenstrahler, sie entstehen im Rahmen eines beta-Zerfalls (siehe Grundlagen).

    Annihilation
    Abb. 35

    Dabei wandelt sich im Atomkern ein positiv geladenes Proton in ein elektrisch neutrales Neutron um. Das Proton wiederum zerfällt in ein elektrisch neutral (Neutrino) und ein positiv geladenes Teilchen (Positron).

    Das Positron wiederum hat die Eigenschaft, bei seinem natürlichen Zerfall 2 Photonen (gamma-Quanten) ausgesandt werden, die gleichzeitig entstehen und in genau entgegen gesetzte Richtungen, d.h. in einem Winkel von 1800 laufen (Abb. 35).

    Die Registrierung dieser zeitgleich entstehenden Signale über eine Spezialkamera und einen Computer ermöglicht eine exakte räumliche Lokalisation der Strahlungsquelle, sowie aus der Anzahl der empfangenen Strahlungssignale eine Aussage über die Strahlungsaktivität dort, wo sich die markierte Substanz angereichert hat.

    Positronenstrahler sind radioaktive “Zwillingsbrüder” von häufig im Körper vorkommenden Substanzen wie Sauerstoff, Stickstoff, Kohlenstoff oder auch Fluor. Sie können daher in biologisch bedeutsame Substanzen und Bestandteile des Körpers wie Kohlenhydrate, Aminosäuren und Fette ohne wesentliche Veränderung deren Molekülstruktur eingebaut werden, nachdem sie den Patienten über eine Vene eingespritzt werden.

    Die radioaktiven PET-Kontrastmittel müssen in einem technisch aufwendigen Verfahren in einem Kreisbeschleuniger (Zyklotron) hergestellt werden.

    Sie zerfallen sehr schnell (Halbwertszeiten 20 - 120 min), weshalb sie sehr schnell nach ihrer Herstellung mit der jeweiligen biologischen Substanz verbunden und eingespritzt werden müssen. Ein Transport der Substanzen durch die Stadt vom Zyklotron zum untersuchenden Arzt ist aus diesen Gründen nicht möglich und dies ist auch der Grund dafür, daß PET-Untersuchungen derzeit meistens nur in Forschungseinrichtungen (z.B. Universitätskliniken), an großen Kliniken und in großen nuklearmedizinischen Praxen eingesetzt werden, die die benötigten Substanzen von in der Nähe befindlichen Zyklotronen beziehen können.

    In der Kardiologie werden 2 verschiedene Substanzen eingesetzt: Mit radioaktivem Stickstoff markierter Ammoniak und mit radioaktivem Fluor markierte Glukose (Zucker):

    Eine PET-Szintigraphie des Herzens wird immer mit den beiden oben genannten Substanzen durchgeführt, sodaß man 2 verschiedene Bildersätze erhält.

    In der einen Bildserie sieht man, wie der Herzmuskel durchblutet wird, d.h. ob die Herzkranzgefäß offen, verschlossen oder verengt sind. In der 2. Bilderserie sieht man dann, ob die Herzmuskelzellen leben oder ob sie abgestorben sind.

    Mit diesen beiden Bilderserien sind nun verschiedene Aussagen möglich:

    Pet-Scanner
    Abb. 36

    Eine PET-Kamera (Abb. 36), auch PET-Scanner genannt, hat von außen betrachtet aufgrund ihrer Ringstruktur eine gewisse Ähnlichkeit mit einem Computertomographen (CT) oder einem Kernspintomographen (MRT), funktioniert aber nach einem anderen Prinzip:

    PET-Scanner-Schema
    Abb. 37

    In dem Ring befinden sich viele einzelne sog. “Szintillationskristalle”, die die von den radioaktiven Strahlen der Kontrastmittel ausgesandten Impulse empfangen und in Lichtblitze verwandeln, welche dann ebenso wie bei einer „normalen“ gamma-Kamera in elektrische Impulse umgewandelt werden (Abb. 37).

    Der Witz der ringförmigen Kristalle besteht nun darin, daß beim Zerfall der Positronenstrahler (siehe oben) Photonen in entgegengesetzte Richtung ausgesandt werden. Diese beiden Photonen können nun von den genau gegenüber liegenden Szintillationskristallen erfaßt werden. Alle Impulse, die während eines sehr kurzen Zeitfensters von 2 gegenüber liegenden Kristallen erfaßt werden müssen daher von einem Atom stammen, das irgendwo auf der Strecke zwischen den beiden Kristallen zerfallen ist.

    Aus der zeitlichen Differenz, mit der der Zerfallsimpuls in den beiden Kristallen auftritt kann der Computer nun errechnen, an welcher Stelle der Zerfall stattgefunden hat.

    Und weil die Photonen sehr energiereich sind und auf ihrem weg vom Zerfallsort zum Kristall vom umgebenden Gewebe nur minimal abgelenkt werden ist auch die räumliche Zuordnung des Zerfallsprozesses sehr genau.

    Die Strahlenexposition liegt bei der PET-Untersuchung in der Größenordnung der natürlichen Strahlenexposition, der man in einem Jahr durch Strahlung aus der Umgebung (Erdoberfläche, Nahrung, Atmosphäre) ausgesetzt ist. Die größte Belastung liegt bei einer PET-Untersuchung in einer langen Fastendauer von mindestens acht Stunden. Insulinpflichtige Diabetiker müssen die Injektion von Insulin entsprechend umstellen. Außerdem müssen bestimmte Medikamente eingenommen werden, die dafür sorgen, dass der Herzmuskel sich zum Zeitpunkt der Messung über Traubenzucker versorgt und nicht über andere Substanzen.

    Die Untersuchung dauert insgesamt rund drei Stunden, die einzelnen Messungen jedoch nur 20 Minuten.

    Die PET-Untersuchung gilt heute als das Beste, was man zur Klärung der Frage hat, ob man bei Menschen nach abgelaufenem Herzinfarkt eine verschlossene oder verengte Herzkranzarterie mit Ballontechniken oder einer Bypass-Operation wieder eröffnen soll oder nicht, denn mit einer PET-Untersuchung kann man so gut wie mit fast keiner anderen Untersuchungstechnik feststellen, ob Herzmuskel einen Infarkt überlebt hat oder eine Narbe entstanden ist. Dennoch wird die Untersuchung außerhalb von Universitätskliniken und wissenschaftlichen Untersuchungen nur sehr selten durchgeführt.

    Der Grund dafür liegt zum einen darin, daß sich wegen der kurzen Verfallszeiten der erforderlichen Kontrastmittel ein Zyklotron in unmittelbarer Nähe der PET-Kamera befinden. Ein Zyklotron erfordert aber eine Investition im zweistelligen Millionenbereich.

    Hinzu kommt, daß PET-Untersuchungen zu den teuersten bildgebenden Verfahren in der modernen Medizin gehören. Die Kosten einer PET-Untersuchung können bis zu 1.500 € betragen. Die gesetzliche Krankenversicherung in Deutschland übernimmt die Kosten für eine PET-Untersuchung im Gegensatz zur Praxis in anderen europäischen Staaten in der Regel nur, wenn der Patient stationär aufgenommen bzw. behandelt wird. Eine stationäre Aufnahme nur zum Zweck einer PET-Untersuchung wird aber von denselben Krankenkassen über den medizinischen Dienst in der Regel abgelehnt (Sie sehen die Perversion des Systems!). Auch diese fehlenden Abrechnungsmöglichkeiten stehen einer weiten Verbreitung der PET-Untersuchung entgegen.